Reno's Specialist In Gum Health & Dental Implants
Peak Periodontics & Implants is here to protect the foundation of your smile—your gums, bone, and the supporting structures that keep your teeth healthy—so you can eat, speak, and smile with confidence. We’re proud to serve Reno, and many of our patients find us through a trusted referral from their general dentist.
Dr. Nathan Antoine is a board-trained periodontist with advanced expertise in gum health and dental implant surgery. Just as important, he takes the time to explain what he’s seeing in clear, straightforward terms—why a treatment is recommended, what your options are, and what to expect. Whether you’re dealing with gum disease, receding gums, or missing teeth, we’ll build a plan together that prioritizes your safety, comfort, and long-term results, while staying mindful of your budget.
We also know that seeing a specialist can feel like a big step. From the moment you walk in, our team will welcome you, answer your questions, and move at a pace that feels right—so your care feels predictable, supportive, and respectful.
If you’re looking for a Reno periodontist who listens and truly cares, we’d be honored to help. Call us at 775-447-1191 or request an appointment online.
Nathan Antoine, DMD, MS
Your Expert in Periodontal Excellence
Dr. Nathan Antoine is a periodontist with extensive training in gum disease treatment and dental implant surgery. After earning his dental degree, he completed a three-year residency in periodontics and a Master of Science in Dentistry at Saint Louis University, and he previously served patients in the Reno area as a general dentist before focusing solely on periodontics.
Patients appreciate his calm, friendly manner and the way he explains each step so they feel informed and cared for - not rushed or pressured.
Read Dr. Antoine's Bio
Our Key Services
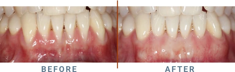
Gum Grafting
Receding gums can make teeth look longer and feel sensitive to hot and cold. We provide gum grafting and other modern treatments to cover exposed roots, reduce sensitivity, and improve the appearance of your smile.
About Gum GraftingDental Implants
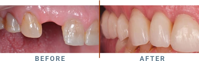
Dental implants are designed to act like natural tooth roots, providing a strong, stable base for crowns, bridges, or dentures. We carefully plan each case to protect your jawbone and create a result that looks natural, feels secure, and makes everyday eating more comfortable.
About Dental ImplantsGum Disease Treatment
Gum disease is common, but with the right care it can be managed before it leads to tooth loss. We offer a range of treatments - from deep cleanings to more advanced procedures - to control infection, protect bone, and support your overall health.
About Gingivitis